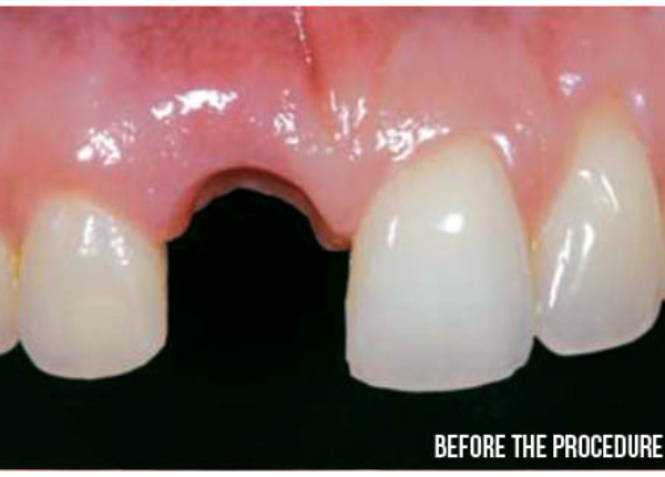
Single Tooth Replacement
- Preserves your healthy teeth—no grinding required on adjacent teeth.
- Bone integrity is preserved for long-lasting esthetics.
- Long-term solution – often for life.
Stabilise Your Dentures With Implants – Yet They Are Removable
- Improved quality of life and appearance.
- Better chewing efficiency.
- Improved speech.
- Increased level of comfort.
- Improved confidence.
Implant Supported Fixed Prosthesis
The Dental Spa offers amazing solutions for you, even if all your teeth are missing. Implant supported fixed bridge is a brilliant alternative to dentures.
They can replace everything you have lost-from a beautiful smile, to the ability to eat what you want!
CT Guided Implants
A CT guided implant surgery is enabled by the use of the patient’s CT images to plan implant surgery through a computer software.
Advantages:
- Accurate and Sutureless
- Bloodless and Painless






