Teeth Whitening
Whitening has become the most popular cosmetic procedure in the world for people who want to look younger, more confident and attractive. The results of whitening vary from patient to patient, depending upon a number of factors like tooth composition and cause of discoloration.
- RAPID/IN-OFFICE WHITENING SYSTEM: We have the ZOOM WHITENING SYSTEM which is a revolutionary system. It is safe, effective and quick and dramatically whitens your teeth in just over an hour.
- HOME WHITENING SYSTEM: It can be used at home by the patient, at his own convenience; but under the dentist’s supervision.
For most patients, a combination of in-office and home whitening yields optimum results.
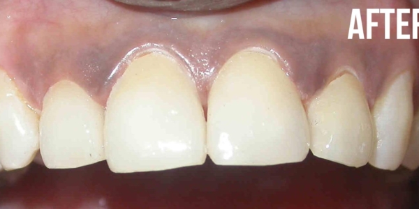
Mind the Gap
If you have a space between your teeth that you don’t like but you haven’t had it closed because you were told it will take years of orthodontic treatment, The Dental Spa is for you. At The Dental Spa, we diagnose the problem and provide the most effective way of treatment for the gap closure. Treatment options:
- Composite Bonding
- Porcelain laminate Veneers
- Metal Free Crowns
- Orthodontic Treatment
Crack in your Smile?
A damaged tooth or teeth can be saved and restored to look and feel like real teeth, perhaps even better.
There are several treatment options available like:
- Composite Bonding
- Porcelain Laminate Veneers
- Metal Free Crowns
Drop the Word ‘Crooked’ from your Smile
They say that a smile is the window to the soul. We at The Dental Spa make sure that your smile compliments the beautiful person that you are!
Although Orthodontics is most often, the best way to correct crowded teeth there is a way to strighten your smile without braces. Less time consuming methods like Composite Bonding and Porcelain laminate veneers or metal free crowns can be used if the problem is not so severe.
Porcelain Laminate Veneers (PLVs)
Porcelain Laminate Veneers (PLVs) are a type of bonded porcelain restoration. They are laboratory made wafer-thin (0.5-0.75mm) translucent porcelain/ ceramic facings which are bonded onto the tooth’s front surface.
These veneers exhibit excellent esthetics which is at par with the natural tooth structure, thus making them the restorative choice in numerous clinical circumstances that would have resulted in the use of full crowns in the past. Porcelain Laminate Veneers are long lasting, do not stain and requires less maintenance compared to Composite bonding.








